HOME ≫ 治療例 ≫
治療例
歯髄保存療法①
近くの歯科医院で虫歯が深いので神経を取らなければならないと言われ受診された患者様です。
自覚症状は冷たいものを口に含むとしみることがあるとのことでした。
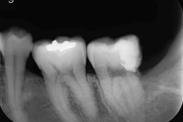
術前のデンタルX線写真と口腔内写真です。左下の一番奥の歯(#37)です。
左下の親知らずは1ヵ月ほど前に抜いたそうです。
親知らずと隣り合っていた歯の後ろ側(遠心)から虫歯が進行しています。
診査の結果、神経は正常に生きていることが分かりました。その為、いきなり神経は取らずに虫歯を取り切った上で神経を温存する治療を進めていくこととなりました。
虫歯を全て取り切ると神経が露出しました。
神経の状態をよく観察し、保存が可能であると判断した為、このまま歯髄保存治療を進めることとしました。
露出した面にMTAというセメントを充填し、露出している神経を封鎖します。
その後、MTAがある程度硬化したら仮の材料を詰めていきます。
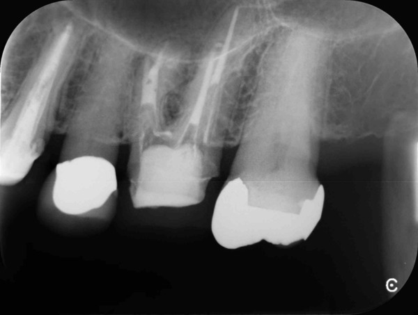
術後デンタルX線写真
この状態で1ヵ月から3か月ほど経過を診させていただき、神経に問題が起きないかどうか確認します。
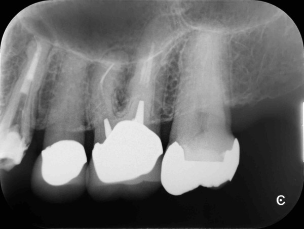
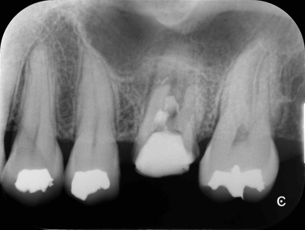
3か月後のデンタルX線写真です。
神経も正常に生きており、レントゲン写真からも異常所見は認めません。
今回の症例は虫歯の範囲が大きかったので、型どりを行い、部分的に被せる治療を行いました。
終了後も症状はなく問題なく使用できているとのことです。周りの歯の虫歯に関しては近くの歯科医院で進めるとのことでした。
このように、一般的な小さい虫歯は近くの歯科医院で行い、神経に近いような大きな虫歯は専門医で治療をするといった事も当院では対応しております。虫歯が大きいので神経を取らなければならないと言われた際は、当院までご相談ください。
| 治療回数 | 1回(歯髄保存療法のみ) |
|---|---|
| 治療費 | 55,000円(別途、部分的な被せ物の代金がかかっています) |
今後考えられる治療 何らかの原因で神経に炎症や感染が生じた場合は根管治療が必要となります。
歯髄保存療法②
この症例の患者様も近くの歯科医院で虫歯の治療をしていると、虫歯が深いので神経を取らなければならないかもしれないと言われ受診されました。
自覚症状は特にないとのことでした。
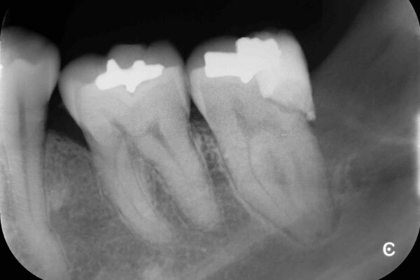
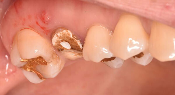
術前のデンタルX線写真と口腔内写真です。右上の前から6番目の歯(#26)です。
術前の診査で、神経が正常に生きていることが分かったので、なるべく神経を温存する治療を進めていくこととしました。
残っている虫歯を慎重に取っている所です。
マイクロスコープを使用することで、虫歯の部分のみを選択的に取り除くことが出来ます。また、神経が露出した際にお口の中の細菌に曝されないようにするために、ラバーダム防湿を行ってやっております。
虫歯を全て取り切っても神経は露出しませんでした。
しかし、神経との距離は薄皮一枚程度で象牙質の構造を考えると、材料による裏打ちを行った方が神経への刺激を防げられるので、今回はMTAにて裏打ちをしていきます。その上から仮の材料を詰めて削った部分を暫間的に封鎖していきます。
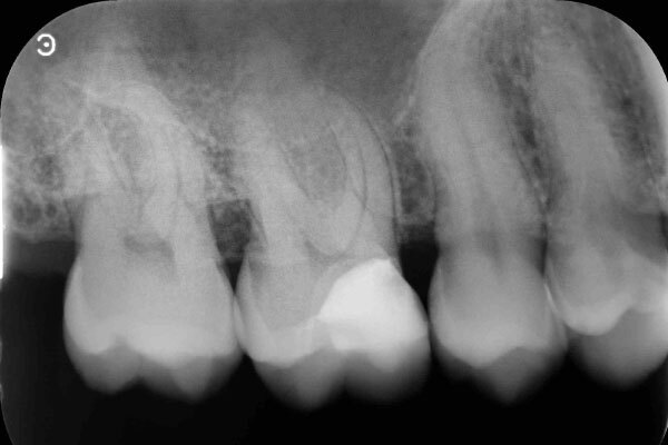
術直後のデンタルX線写真です。
ここから1ヵ月ほど経過を診させていただきました。
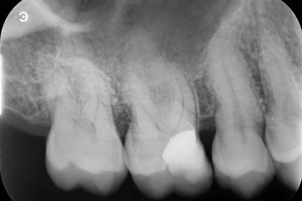
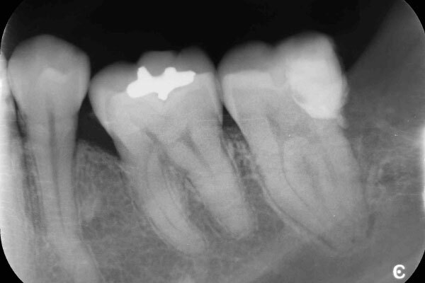
術後1ヵ月のデンタルX線写真です。
自覚症状はなく、レントゲン写真でも異常所見は認めません。
この歯は虫歯で削った部分が大きかった為、型どりを行い、部分的に被せる治療を行いました。
このように虫歯を慎重に取り除くことによって神経の露出を避けられ、神経を温存できる可能性を更に高めることが出来ます。神経をなるべく残したいとお考えの方は当院までご相談ください。
| 治療回数 | 1回(歯髄保存療法のみ) |
|---|---|
| 治療費 | 55,000円(別途、部分的な被せ物の代金がかかっています) |
今後考えられる治療 何らかの原因で神経に炎症や感染が生じた場合は根管治療が必要となります。
精密根管治療①
近くの歯科医院で下の前歯の根の先が膿んでいると言われたので受診されました。
自覚症状はありませんでした。
このような場合は神経が生きているかどうかの診査から行っていきます。診査の結果、神経が2本とも死んでしまっていたので、根管治療を行っていくこととしました。
術前のレントゲン写真とCT画像と、お口の中の写真です。下の前歯2本(#31,41)です。
2本の根の周りに黒い影(透過像)があるのが分かります。
ラバーダム防湿を行い、前歯の場合は歯の裏側から穴を開けて治療を開始していきます。その際もマイクロスコープを使用しながら切削していくことで歯を無駄に削っていくことを防げます。
歯の神経(歯髄)に到達したら、死んでしまっている神経を取り除いて根管内を清掃していきます。
根管内が綺麗になったら根管充填を行い、根の中を緊密に封鎖していきます。
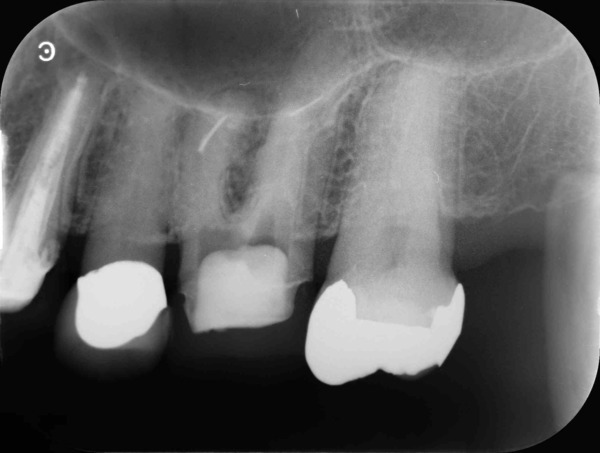
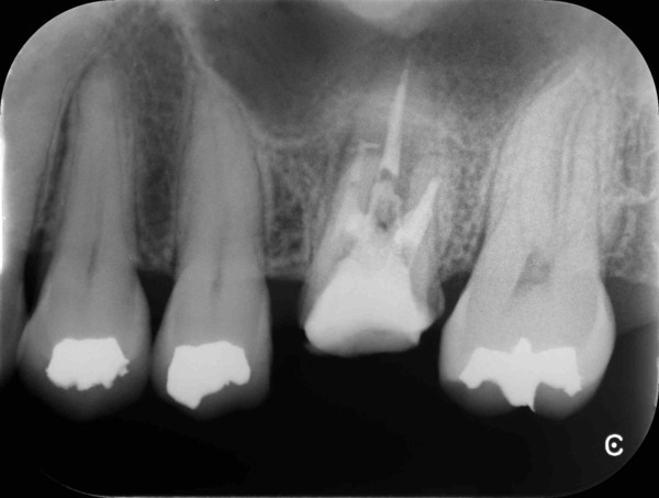
術直後のレントゲン写真です。
術後6ヵ月後のレントゲン写真とCT画像です。
術前にあった根の周りの黒い影は縮小して改善しているのが分かります。
このように歯の神経は気付かない内に死んでしまい、感染を起こしているケースがあります。歯の神経が死んでしまう原因はいくつもあり、それは人それぞれです。このようなケースは初回の根管治療を歯内療法専門医が行うことによって最小限の侵襲で最大限の効果を発揮できると考えています。根の先が膿んでいると言われた際は、歯内療法専門医までご相談ください。
| 治療回数 | 3回(精密根管治療+ ダイレクトボンディング) |
|---|---|
| 治療費 | 99,000円×2(前歯の精密根管治療×2歯)+ 22,000×2(ダイレクトボンディング一面×2) |
今後考えられる治療 根の周りの黒い影(透過像)が再発する場合は外科的に対応していきます。
精密根管治療②
左上の奥歯に穴がいくつも空いていて治療できないので抜歯と言われ、受診されました。
痛みはないが、腫れているという自覚症状がありました。
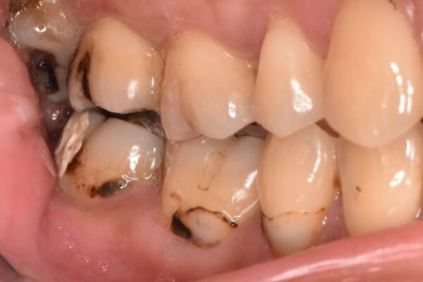
術前のレントゲン写真とCT画像、お口の中の状態です。左上の前から6番目の歯(#26)です。歯の残りも少なく、歯肉にニキビのような膿の出口があります。
治療を開始し仮の蓋を除去すると歯の中にプラスチックの材料が残っていました。その材料を取り除くと穴(穿孔)を発見しました。全部で2つありました。
本来の根管とは別の部分に空いてしまった穴はそれ自体も感染しているので、よく消毒してからMTAという特殊なセメントで封鎖をします。
MTAは最終硬化まで24時間以上かかるので、本来の根管の治療は次の回となります。
次の治療の際にMTAがしっかりと硬まったのを確認し、本来の根管の治療をしていきます。
根の中を詰めた直後のレントゲン写真です。
術後6ヵ月のレントゲン写真と、お口の中の写真です。
ニキビのような膿の出口もキレイに消えています。
歯根の周りの黒い影(透過像)の改善を認めます。
その後、かかりつけ医院にて被せ物の治療を進めてもらいます。
かかりつけ歯科医院がなかったり、被せ物をしてもらう歯科医院に迷われた際は当院でも対応いたしますので、ご相談ください。
このように歯の中に穴が空いていても、状態によっては歯を保存できる場合があります。歯内療法専門医がしっかりと診断させていただきます。
歯を抜くしかないと言われた際はご相談ください。
| 治療回数 | 4回(精密根管治療+ 支台築造) |
|---|---|
| 治療費 | 143,000円(大臼歯の精密根管治療)+ 33,000円(支台築造) |
今後考えられる治療 術後の経過が悪かったり、歯肉の腫れが出てくる場合は外科的に対応していきます。
精密根管治療③
左上の歯肉が腫れているということで受診されました。
5年ほど前に被せ物を新しくしたが、根の治療は大分前にやったっきりとのことでした。
痛みなどはなく、自覚症状は歯肉の腫れのみでした。
術前のレントゲン写真とお口の中の状態です。左上の前から6番目の歯(#26)です。
3本ある内の手前(近心)の根の中には治療用の器具が折れて残っていました。折れた器具が根管の中にあるだけでは問題になることは少ないですが、その先に感染がある場合は取り除いて治療をすることが望ましいです。
歯根の中の画像です。折れて残っている器具が確認できます。
超音波の器具を用いて取り除いていきます。今回は無事に取り除くことができました。
もし、根管内から取り除くことが困難な場合は外科的に対応していく場合もあります。
取り除くことが第一の目的ではないので、根管内の治療を進めていきます。
根の中を詰めた直後のレントゲン写真です。
ここから経過観察をしていきます。
このように根管治療によって使っている器具が折れて根管の中に残ってしまうことが稀にあります。しかし、これはどんなに注意していても、専門医が行っても一定の確率で起こってしまいます。折れた器具の先で感染が生じていなければ無理に取り除くことは必要ありませんが、今回のようにその先に感染がある場合は取り除き治療を出来る環境にすることが大切です。
このようなケースは普通に根管治療をするよりも更に精密さが要求される治療ですので、その場合は歯内療法専門医までご相談ください。
| 治療回数 | 4回(精密根管治療+ 支台築造) |
|---|---|
| 治療費 | 143,000円(大臼歯の精密根管治療)+ 33,000円(支台築造) |
今後考えられる治療 術後の経過が悪かったり、歯肉の腫れが再発する場合は外科的に対応していきます。
